Contact | Maintenance |
|

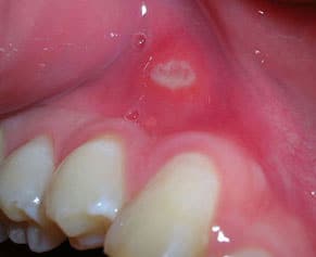
Ulcerative stomatitis

A bad health condition, immune suppression (chemotherapy or radiotherapy), or lacking of oral hygiene can lead to oral mucosa inflammation. Besides redness, swelling, burning and pain, canker sore, tears in the tissue, blisters or abscesses may occur. Also numbness, difficulties to swallow or even loss of taste can be symptoms of an oral mucosa inflammation. The change to an ulcerating inflammation goes along with profound, painful abscesses spreading from the alveolar ridge all over the oral mucosa, sometimes accompanied by strong pain, fever, involuntary flow of salvia out of the mouth, loss of gum and offensive breath.

A locally limited inflammation might abate soon, while an inflammation of big parts of the mucosa can persist for a long time, especially if immune system is very weak and can not fend off pathogens.

For the treatment of ulcerative stomatitis, within the scope of the REGENA-Therapy, the following REGENAPLEX remedy can be used: